Panel showing 13C hyperpolarized imaging scans from a patient with a meningioma

UCSF Brain Tumor Center Awarded $13 Million Program Project Grant Renewal from the National Cancer Institute

Close-up of the attachment that allows researchers to acquire 13C hyperpolarized imaging data

The Brain Tumor Center at UC San Francisco is receiving $13 million over the next five years from the National Cancer Institute (NCI) to investigate genomic and imaging biomarkers of glioblastoma and meningioma.

The grant, which brings together a multidisciplinary team across UCSF, will sponsor four projects and be led by neuro-oncologist Susan Chang, MD, FASCO, as well as imaging scientists Janine Lupo, PhD, and Daniel Vigneron, PhD.

This is the tenth cycle of funding for the Brain Tumor Center’s Program Project grant, which for the last 20 years has been focused on breakthroughs for novel imaging technologies that can improve management strategies for glioma. 

“Over the last decade our Program Project Grant has made a lot of progress in developing new noninvasive tools to monitor glioma growth and response to treatment, including the first demonstrations of hyperpolarized 13C MRI to assess glioma metabolism,” said Chang. “We are excited to expand the expertise we have in this area to meningiomas, as well as continue to probe genomic vulnerabilities in these two tumor types.”  

Metabolic signatures associated with brain tumors can be detected earlier than structural changes seen on standard MRI, possibly allowing for earlier interventions or changes to treatment plans. During the last funding cycle, the researchers used hyperpolarized 13C MRI to capture dynamic changes in the metabolism of different subtypes of gliomas in order to determine whether a tumor was growing or responding to treatment.  Researchers led by associate professor of radiology Yan Li, PhD,  will now apply this imaging approach in patients with recurrent glioblastoma to assess whether their tumor is responding to therapy.

UCSF imaging scientist Daniel Vigneron, PhD, working with technicians to position a patient actor for an imaging scan (left). Set-up that allows for the sterile transfer of the metabolic tracer into the MRI machine power injector (right). In 13C hyperpolarized MR imaging, scientists inject a metabolic tracer into the patients and track its signal to assess metabolic changes in the brain

In a second project, 13C MRI will be used to evaluate meningiomas. UCSF scientists recently found that the DNA methylation status of meningiomas distinguishes between groups of patients who are more likely to have their tumor grow back and would benefit from additional therapies versus those who are more likely to have favorable clinical outcomes with standard treatment.

Meningiomas with the highest risk of recurrence – the immune-enriched DNA methylation group – are characterized by the loss of the tumor suppressor gene NF2 and an increase in the expression of a protein called FOXM1. These genetic and gene expression alternations also result in changes in the metabolism of these tumors that can be monitored with hyperpolarized 13C imaging. These studies, led by imaging scientist Pavithra Viswanath, PhD, will offer noninvasive approaches to evaluate the molecular features of meningiomas. Applying these imaging approaches in the clinical setting could then help guide the most appropriate treatment strategy for each patient.

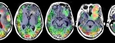
HP-13C imaging of meningioma. Dynamically-acquired hyperpolarized carbon-13 (HP-13C) data obtained following [1-13C]pyruvate injection are shown for a patient with a hypermitotic meningioma, whose lesion is highlighted on the post-gadolinium T1-weighted imaging (top row). The temporally-summed signal from HP [1-13C]lactate demonstrates considerable lesion heterogeneity (second row). A modified lactate-to-pyruvate ratio thatpartially takes into account the non-metabolically-active vascular pool of [1-13C]pyruvate shows some of the relative glycolytic activity (third row). The conversion of pyruvate-to-lactate is also kinetically modeled as a rate constant (kPL) to similarly highlight glycolytic activity over the lesion (fourth row). Image courtesy of Yan Li, PhD.

David Raleigh, MD, PhD, and his colleagues are also continuing their work studying how the patterns in the DNA methylation and gene expression of these tumors influence their growth and response to therapy. The goals of this project are to identify more imaging biomarkers that correspond to the different molecular subgroups of meningioma by linking the tissue acquisition to imaged locations within the tumor and to find new potential therapies for the most aggressive of these tumors. 

In the final project, researchers led by Joseph Costello, PhD, are studying the genomic alternations in glioblastoma with multiple tissue samples from each individual patient’s tumor. Current therapies for glioblastomas do not effectively target all the many types of cells in these tumors. This approach will help them discover therapeutic targets present throughout the entire tumor. 

3D model of an individual patient's tumor showing where samples were taken for subsequent genomic analyses. Media courtesy of the Costello lab.

In addition to supporting these four projects, the grant funds three resource cores (Administrative and Clinical, Biospecimen and Biomarker and Imaging Cores) that will provide the necessary infrastructure and expertise to facilitate the collaborations between clinicians, basic science researchers, and imaging scientists in multiple departments.

“This renewal highlights the strength of the longstanding cross-disciplinary collaborations in our brain tumor program between clinical and research faculty,” Chang said.